Coalizão Tarsal: Entenda a Barra Óssea que Pode Causar Dor e Rigidez no Seu Pé

O que é Coalizão Tarsal e por que você precisa saber sobre ela?
Você sente uma dor persistente no pé, especialmente ao praticar atividades físicas, e percebe que ele está mais rígido, quase como se não movesse como deveria? Muitos adolescentes e adultos jovens experimentam esses sintomas, que podem ser um sinal de uma condição chamada Coalizão Tarsal.
A Coalizão Tarsal, também conhecida como "barra óssea" no pé, é uma condição onde há uma conexão anormal entre dois ou mais ossos do tarso (a região média e posterior do pé). Essa união, que deveria ser flexível e permitir o movimento, acaba limitando a mobilidade natural do pé, causando dor, rigidez e, muitas vezes, um formato de "pé plano" (pé chato) que não se corrige.
Entender essa condição é crucial para buscar o diagnóstico correto e o tratamento adequado, garantindo que você possa voltar a ter uma vida ativa e sem dor.
Dr. Felipe Serzedello: Sua experiência no tratamento da Coalizão Tarsal.
Com vasta experiência em ortopedia e uma dedicação profunda à saúde dos pés e tornozelos, o Dr. Felipe Serzedello é um especialista altamente qualificado no tratamento da Coalizão Tarsal e outras condições complexas.
Ele prioriza consultas longas e personalizadas, focando no bem-estar do paciente e utilizando técnicas cirúrgicas avançadas, incluindo abordagens minimamente invasivas, para oferecer os melhores resultados e uma recuperação eficaz.
Quais são os ossos envolvidos na Coalizão Tarsal? Uma breve aula de anatomia.

Para entender a Coalizão Tarsal, é importante conhecer um pouco sobre a anatomia do seu pé. Ele é uma estrutura complexa, formada por 26 ossos, que trabalham em conjunto para nos dar suporte, equilíbrio e permitir o movimento.
A parte de trás do pé, próxima ao tornozelo, é chamada de tarso e é composta por sete ossos. Os principais ossos envolvidos na Coalizão Tarsal são:
- Tálus: O osso que se articula com os ossos da perna, formando o tornozelo.
- Calcâneo: O famoso osso do calcanhar, o maior do tarso.
- Navicular: Um osso em formato de barco, localizado à frente do tálus.
Normalmente, esses ossos deslizam uns sobre os outros de forma suave, permitindo a flexibilidade do pé. Na Coalizão Tarsal, essa mobilidade é comprometida devido a uma união anormal entre alguns desses ossos, impedindo o movimento natural.
Tipos de "barras": Quais são as formas de Coalizão Tarsal?

A "barra" na Coalizão Tarsal não é sempre feita de osso. Ela pode ser de diferentes tecidos, dependendo de como a união anormal se formou:
- Barra Óssea (Sinostose): A forma mais comum e mais rígida, onde os ossos estão completamente fundidos por tecido ósseo.
- Barra Cartilaginosa (Sincondrose): A união é feita por cartilagem, o que pode permitir um pequeno grau de movimento, mas ainda assim limita a flexibilidade normal.
- Barra Fibrosa (Sindesmose): A conexão é por um tecido fibroso denso, que também restringe o movimento.
As Coalizões Tarsais mais frequentes são:
Coalizão Calcaneonavicular:
Ocorre quando o calcâneo (osso do calcanhar) se funde com o navicular (osso do mediopé). É a coalizão mais comum.
Coalizão Talocalcaneana:
É a fusão entre o tálus e o calcâneo. Costuma ser mais complexa e grave.
Coalizão Talonavicular:
A união entre o tálus e o navicular, menos comum que as anteriores.
É importante ressaltar que a Coalizão Tarsal geralmente é congênita (a pessoa nasce com ela), mas os sintomas só aparecem na adolescência ou início da vida adulta, quando os ossos estão se desenvolvendo e se ossificando.
Como a Coalizão Tarsal se manifesta? Quais são os sintomas mais comuns?

Os sintomas da Coalizão Tarsal costumam surgir quando o esqueleto está amadurecendo, geralmente entre os 8 e 16 anos. No entanto, algumas pessoas podem não sentir nada até a vida adulta, ou a condição pode ser descoberta acidentalmente em exames de imagem.
Os sinais e sintomas mais comuns incluem:
- Dor no pé: Localizada na lateral, parte inferior do pé ou no tornozelo. A dor costuma piorar com atividades físicas, como caminhar, correr ou praticar esportes.
- Rigidez: Sensação de que o pé está "travado", com dificuldade para movimentá-lo para os lados ou para cima e para baixo.
- Pé plano rígido ou espasmódico: O arco do pé pode não se formar, mesmo quando a pessoa se levanta na ponta dos pés. Em alguns casos, pode haver espasmos musculares que causam essa rigidez.
- Cansaço fácil nos pés: Atividades que antes eram simples se tornam exaustivas.
- Claudicação (manqueira): A forma de andar pode ser alterada para compensar a dor e a rigidez.
- Entorses de tornozelo frequentes: A falta de mobilidade do pé pode predispor a entorses repetitivos.
- Espasmo dos músculos da perna: Principalmente os músculos fibulares, que tentam estabilizar o pé.
Coalizão Tarsal e desalinhamentos: Qual a relação com pé plano ou pé cavo?

A Coalizão Tarsal tem uma relação muito próxima com os desalinhamentos do pé, sendo a principal causa de um tipo específico de pé plano: o pé plano rígido.
Pé Plano Rígido:
Diferente do pé plano flexível (que forma o arco quando a pessoa se levanta na ponta dos pés), no pé plano rígido, a fusão óssea impede qualquer correção. A falta de movimento entre os ossos do tarso faz com que o arco medial do pé permaneça "achatado" e imóvel. Essa rigidez causa uma distribuição inadequada do peso e estresse em outras articulações, levando a dor e desconforto.
Pé Cavo:
Embora menos comum, em alguns tipos raros de coalizão, ou como uma compensação em outras articulações do pé, um formato de pé cavo pode ser observado. No entanto, a associação mais forte e frequente é com o pé plano rígido.
A coalizão impacta diretamente a biomecânica do pé e da marcha, podendo afetar outras articulações e levar a problemas secundários se não for tratada.
Quando devo procurar um médico especialista em pé e tornozelo?

Não ignore a dor ou a sensação de rigidez nos seus pés. Quanto antes a Coalizão Tarsal for diagnosticada, melhores as chances de um tratamento eficaz e de evitar complicações a longo prazo.
Você deve procurar um especialista em pé e tornozelo se apresentar:
- Dor persistente no pé ou tornozelo, especialmente em adolescentes e adultos jovens.
- Sensação de rigidez crescente ou dificuldade para movimentar o pé em atividades cotidianas.
- Perceber que seu pé está com um formato plano e não consegue formar o arco ao levantar.
- Histórico familiar de problemas nos pés ou de Coalizão Tarsal.
- Dificuldade para praticar esportes ou realizar atividades físicas devido à dor ou rigidez.
- Entorses de tornozelo que ocorrem com frequência.
Uma avaliação precoce por um profissional experiente é fundamental para um diagnóstico preciso e para iniciar o plano de tratamento mais adequado.
Como é feito o diagnóstico da Coalizão Tarsal?

O diagnóstico da Coalizão Tarsal requer uma abordagem detalhada e geralmente envolve os seguintes passos:
Anamnese e Exame Físico:
O médico especialista irá conversar com você sobre seus sintomas, histórico familiar e de saúde. Durante o exame físico, ele avaliará a marcha, a postura do pé, a amplitude de movimento das articulações e buscará sinais de sensibilidade ou espasmos musculares.
Exames de Imagem:
São essenciais para confirmar a presença da coalizão e determinar sua natureza e extensão:
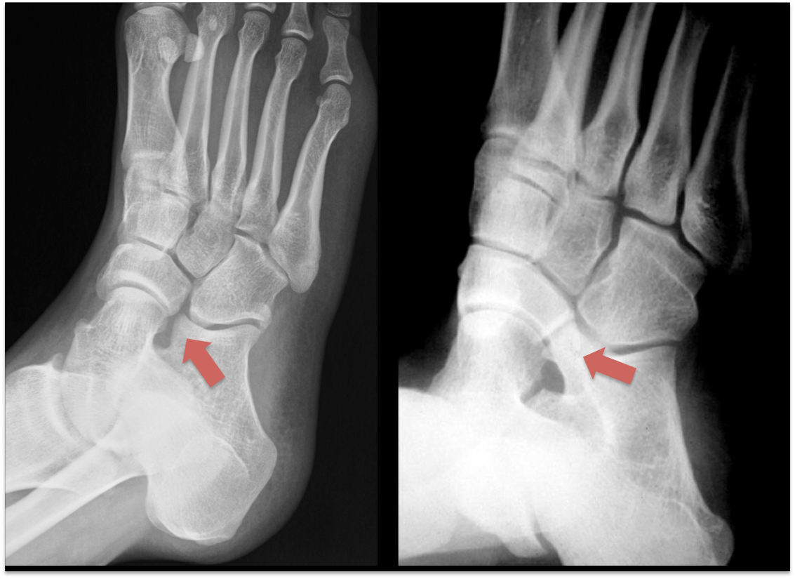
Radiografias (Raio-X):
São os exames iniciais. Podem mostrar a coalizão, especialmente as ósseas, em projeções específicas.
Tomografia Computadorizada (TC):
Considerada o "padrão ouro" para o diagnóstico. A TC oferece imagens tridimensionais detalhadas que permitem visualizar a fusão óssea com clareza, identificar o tipo e a extensão da coalizão, e é crucial para o planejamento cirúrgico.
Ressonância Magnética (RM):
É útil para identificar coalizões que são cartilaginosas ou fibrosas, que podem não aparecer bem no raio-X ou TC. Também ajuda a avaliar a inflamação ao redor da coalizão e o estado das estruturas adjacentes.
Baropodometria:
Embora não seja um exame para diagnosticar a coalizão em si, a baropodometria é um exame que analisa a pisada e a distribuição de carga no pé. Ela pode auxiliar na avaliação da biomecânica do pé afetado pela coalizão, identificando áreas de sobrecarga e orientando o uso de palmilhas personalizadas como parte do tratamento conservador.
Quais são as opções de tratamento para a Coalizão Tarsal?
O objetivo principal do tratamento da Coalizão Tarsal é aliviar a dor, restaurar a função do pé e, sempre que possível, melhorar a mobilidade. A escolha do tratamento depende de diversos fatores, como o tipo e tamanho da coalizão, a idade do paciente, a gravidade dos sintomas e o grau de deformidade.
Tratamento Conservador (Não Cirúrgico):

Inicialmente, a maioria dos casos tenta-se o tratamento conservador, que inclui:
- Repouso e Modificação de Atividades: Diminuir ou evitar atividades que agravam a dor e o estresse no pé.
- Uso de Gelo e Medicação: Aplicação de gelo e medicamentos anti-inflamatórios orais podem ajudar a controlar a dor e a inflamação.
- Fisioterapia: Essencial para alongar músculos encurtados, fortalecer os músculos do pé e tornozelo, e melhorar a marcha e o equilíbrio.
- Palmilhas Personalizadas: As palmilhas ortopédicas feitas sob medida são cruciais. Elas ajudam a dar suporte ao arco do pé, redistribuir a pressão, absorver impactos e, assim, aliviar os sintomas dolorosos e melhorar o conforto.
- Imobilização: Em casos de dor intensa, o uso de botas imobilizadoras pode ser recomendado por um período.
- Infiltrações: A aplicação de medicamentos (como corticoides) diretamente na área afetada pode proporcionar alívio temporário da dor e da inflamação.
Tratamento Cirúrgico:

Quando o tratamento conservador não é suficiente para aliviar a dor e restaurar a função, a cirurgia pode ser a melhor opção. As principais abordagens cirúrgicas são:
Ressecção da Barra:
Consiste na remoção cirúrgica da conexão óssea, cartilaginosa ou fibrosa anormal. O objetivo é restaurar o movimento natural entre os ossos. É mais comum em coalizões calcaneonaviculares e geralmente tem bons resultados, especialmente quando realizada em pacientes mais jovens com coalizões menores e menos degeneração articular. Após a ressecção, um tecido (geralmente gordura ou músculo) pode ser interposto para evitar que a barra se forme novamente.
Artrodese (Fusão Articular):
Em casos de coalizões maiores, mais complexas, com grande deformidade, ou quando a ressecção da barra não teve sucesso, a fusão cirúrgica permanente dos ossos envolvidos pode ser necessária. Embora limite o movimento, a artrodese proporciona estabilidade e elimina a dor na articulação fundida.
Técnicas Minimamente Invasivas:
Para alguns tipos de coalizão, especialmente as de menor extensão, o Dr. Felipe Serzedello pode utilizar abordagens cirúrgicas minimamente invasivas. Essas técnicas utilizam incisões menores, resultando em menos dor pós-operatória, menor risco de complicações e uma recuperação mais rápida.
A decisão de operar e qual técnica utilizar é sempre individualizada e discutida entre o paciente e o cirurgião, considerando as particularidades de cada caso.
O que dizem nossos pacientes? (Depoimentos)
Conclusão: Não ignore a dor no seu pé. Busque ajuda especializada.

A dor e a rigidez nos pés não são normais, especialmente em jovens. A Coalizão Tarsal é uma condição tratável que, com o diagnóstico correto e o plano de tratamento adequado, permite que você recupere sua mobilidade e qualidade de vida. Não permita que a dor limite suas atividades ou seu bem-estar.
Se você sente dor no pé, percebe rigidez ou desconfia de Coalizão Tarsal, não hesite em buscar ajuda. Agende sua consulta personalizada com o Dr. Felipe Serzedello e dê o primeiro passo para uma vida sem dor.











