Artrose do Tornozelo: Entenda, Previna e Trate a Dor Que Prejudica Seus Passos

Você já sentiu uma dor persistente no tornozelo, rigidez ao acordar ou dificuldade para realizar atividades simples como caminhar? A artrose do tornozelo, também conhecida como osteoartrite do tornozelo, é uma condição que afeta milhares de pessoas, impactando diretamente a qualidade de vida e a mobilidade.
Neste artigo completo, vamos desvendar tudo sobre a artrose do tornozelo: desde como essa articulação fundamental funciona, passando por suas causas e sintomas, até as mais modernas opções de tratamento. Nosso objetivo é que você entenda sua condição e saiba que existem caminhos para aliviar a dor e recuperar o prazer de se movimentar.
O Que é Artrose do Tornozelo?

A artrose, ou osteoartrite, é uma doença degenerativa que afeta as articulações, caracterizada pelo desgaste progressivo da cartilagem. No tornozelo, essa cartilagem – um tecido liso e elástico que reveste as extremidades dos ossos – se deteriora, perdendo sua capacidade de amortecer impactos e permitir o deslizamento suave entre os ossos.
Imagine a cartilagem como um “amortecedor” natural e um “lubrificante” para suas articulações. Quando ela se desgasta, os ossos começam a roçar uns nos outros, causando dor, inflamação e limitação dos movimentos. Embora seja mais conhecida no joelho e no quadril, a artrose pode ser igualmente debilitante no tornozelo, uma articulação crucial para nossa locomoção.
Dr. Felipe Serzedello: Sua Especialidade no Cuidado com o Tornozelo
O Dr. Felipe Serzedello é um ortopedista especialista em pé e tornozelo que oferece um atendimento verdadeiramente diferenciado.
Com foco em consultas particulares, longas e personalizadas, sua prioridade é o bem-estar do paciente. Sua expertise em diversas técnicas, incluindo as cirurgias de reparos ligamentares, artrodese e tratamento de deformidades complexas, garante que você receberá o tratamento mais adequado e com a atenção que merece.
Ele não aceita convênios, mas estimula o reembolso para que seus pacientes tenham acesso à melhor equipe.
Como Funciona o Nosso Tornozelo?

Para entender a artrose, é importante conhecer um pouco sobre a complexidade do tornozelo. Essa articulação é uma verdadeira obra de engenharia, projetada para suportar o peso do corpo e permitir uma ampla gama de movimentos, essencial para atividades como caminhar, correr e pular.
As principais estruturas envolvidas são:
Ossos:
- Tíbia (osso da canela): O principal osso da perna que forma a parte superior da articulação do tornozelo.
- Fíbula (osso fino ao lado da tíbia): Ajuda a estabilizar o tornozelo.
- Tálus (osso do pé): Conecta a tíbia e a fíbula ao resto do pé, sendo o principal osso do movimento do tornozelo.
Cartilagem Articular:
Cobre as extremidades da tíbia, fíbula e tálus, proporcionando uma superfície lisa para o movimento e absorção de choque. No tornozelo, essa cartilagem é surpreendentemente fina, o que a torna vulnerável a lesões.
Ligamentos:
São estruturas fortes e elásticas que conectam os ossos, dando estabilidade à articulação e evitando movimentos excessivos que poderiam causar lesões.
Juntos, esses componentes permitem movimentos como flexionar o pé para cima (dorsiflexão) e para baixo (flexão plantar), além de virar o pé para dentro (inversão) e para fora (eversão), essenciais para o equilíbrio e a adaptação a diferentes terrenos.
Por Que a Artrose do Tornozelo Acontece?

Diferentemente da artrose em outras articulações maiores, a artrose do tornozelo raramente surge "do nada" (artrose primária). Na vasta maioria dos casos, ela é uma consequência de algum evento anterior, sendo por isso chamada de artrose secundária.
Os principais mecanismos e causas incluem:
- Traumatismos: Fraturas no tornozelo (mesmo que bem tratadas no passado) ou luxações são as causas mais comuns. Elas podem alterar a anatomia da articulação e danificar a cartilagem diretamente.
- Instabilidade Crônica do Tornozelo: Entorses de repetição, que não foram tratadas adequadamente, podem levar a uma instabilidade que sobrecarrega a articulação e acelera o desgaste.
- Deformidades: Alinhamentos incorretos do pé ou tornozelo (como pé chato ou pé cavo severo) podem distribuir a carga de forma desigual, levando ao desgaste localizado.
- Doenças Inflamatórias: Condições como artrite reumatoide, artrite psoriásica ou gota podem causar inflamação crônica nas articulações, destruindo a cartilagem.
- Infecções Articulares: Uma infecção prévia no tornozelo pode danificar a cartilagem.
- Outras Causas: Uso excessivo em atletas de alto impacto, obesidade e distúrbios neurológicos podem contribuir, embora em menor grau se não houver um trauma prévio.
Quem Está em Risco de Desenvolver Artrose do Tornozelo?
Alguns fatores aumentam a probabilidade de desenvolver artrose no tornozelo. Identificá-los pode ajudar na prevenção e no tratamento precoce:
- Histórico de Trauma: Indivíduos com histórico de fraturas, entorses graves ou cirurgias no tornozelo.
- Idade: Embora possa afetar pessoas mais jovens devido a traumas, a incidência aumenta com o envelhecimento.
- Obesidade: O excesso de peso sobrecarrega as articulações, acelerando o desgaste da cartilagem.
- Prática de Esportes de Alto Impacto: Corredores, jogadores de basquete e outros atletas podem ter maior risco se não houver cuidado com a prevenção de lesões.
- Deformidades nos Pés: Pessoas com desalinhamentos congênitos ou adquiridos.
- Doenças Inflamatórias: Artrites inflamatórias sistêmicas.
Quais São os Sintomas da Artrose do Tornozelo?

Os sintomas da artrose do tornozelo podem variar de intensidade e geralmente pioram com o tempo. É fundamental estar atento a eles:
- Dor:É o sintoma mais comum e geralmente piora com a atividade física e melhora com o repouso.
- Pode ser sentida como uma dor profunda, pontada ou queimação.
- Costuma ser mais intensa na parte da frente ou nas laterais do tornozelo.
- Rigidez: Especialmente ao acordar ou após períodos de inatividade. O tornozelo pode parecer "travado".
- Inchaço (Edema): A articulação pode inchar, especialmente após atividades.
- Dificuldade de Movimento: A amplitude de movimento do tornozelo diminui, tornando difícil flexionar o pé para cima ou para baixo, ou realizar movimentos laterais.
- Crepitação: Sons de "estalos" ou "rangidos" podem ser ouvidos ou sentidos durante o movimento do tornozelo.
- Sensação de Instabilidade: O tornozelo pode "falsear" ou parecer instável.
- Dificuldade para Caminhar: A dor e a rigidez podem afetar a marcha, tornando a caminhada dolorosa e limitada.
- Deformidade: Em estágios avançados, o tornozelo pode apresentar alterações visíveis em sua forma.
Como a Artrose do Tornozelo é Diagnosticada?

Um diagnóstico preciso é o primeiro passo para um tratamento eficaz. O processo geralmente envolve:
Consulta Médica Detalhada:
O ortopedista coletará seu histórico médico, perguntando sobre traumas anteriores, dores, limitações e como a condição afeta seu dia a dia.
Exame Físico:
O médico avaliará a amplitude de movimento do seu tornozelo, procurará por inchaço, sensibilidade, deformidades e testará a força muscular e a estabilidade.
- Exames de Imagem:Radiografias (Raio-X): São as primeiras e mais importantes imagens. Podem mostrar o estreitamento do espaço articular (indicando perda de cartilagem), a formação de osteófitos (bicos de papagaio) e cistos ósseos.
- Ressonância Magnética (RM): Fornece imagens detalhadas da cartilagem, ligamentos, tendões e outros tecidos moles, sendo útil para avaliar a extensão do dano e planejar tratamentos.
- Tomografia Computadorizada (TC): Útil para avaliar a estrutura óssea em detalhes, especialmente em casos de deformidades ou planejamento cirúrgico.
Baropodometria:
Um exame especializado que avalia a distribuição da pressão nos pés durante a caminhada e a postura. Ajuda a identificar desalinhamentos e sobrecargas que podem estar contribuindo para a artrose e a guiar a confecção de palmilhas personalizadas.
Quais São as Opções de Tratamento para a Artrose do Tornozelo?

O tratamento da artrose do tornozelo é individualizado e depende do estágio da doença, da intensidade dos sintomas e das necessidades do paciente. O objetivo é aliviar a dor, melhorar a função e retardar a progressão do desgaste.
Tratamentos Não Cirúrgicos: Aliviando a Dor e Melhorando a Função
Na maioria dos casos, inicia-se com abordagens conservadoras.
Medicações:
- Analgésicos: Para controle da dor.
- Anti-inflamatórios Não Esteroides (AINEs): Reduzem a dor e a inflamação. Podem ser orais ou tópicos.
- Suplementos: Glicosamina e condroitina, embora com evidências variadas, podem ser recomendados em alguns casos.
Fisioterapia e Fortalecimento:
- A fisioterapia é fundamental! Um programa personalizado pode:
- Reduzir a dor e o inchaço.
- Melhorar a amplitude de movimento do tornozelo.
- Fortalecer os músculos ao redor do tornozelo e da perna, oferecendo maior estabilidade e suporte.
- Melhorar o equilíbrio e a marcha.
- Inclui exercícios de alongamento, mobilização articular, fortalecimento e treino proprioceptivo (melhora da percepção da posição do corpo no espaço).
Palmilhas e Órteses:
- Palmilhas Ortopédicas Personalizadas: Confeccionadas sob medida (frequentemente com base na baropodometria), ajudam a corrigir desalinhamentos, redistribuir a pressão na planta do pé e reduzir a carga sobre a articulação do tornozelo.
- Órteses (talas/botas): Podem ser usadas para imobilizar o tornozelo temporariamente, proporcionar suporte durante atividades ou proteger a articulação.
Modificações no Estilo de Vida:
- Perda de Peso: Reduz significativamente a carga sobre o tornozelo.
- Ajuste de Atividades: Evitar atividades de alto impacto e optar por exercícios de baixo impacto, como natação, ciclismo ou caminhada em terrenos macios.
- Uso de Calçados Adequados: Sapatos confortáveis, com bom amortecimento e suporte.
Infiltrações: Quando e Por Que?

Quando os tratamentos conservadores orais e a fisioterapia não são suficientes, as infiltrações podem oferecer alívio direto na articulação:
Corticoides (Corticosteroides):
- São potentes anti-inflamatórios injetados diretamente na articulação.
- Oferecem alívio rápido e significativo da dor e inflamação, mas o efeito é temporário e não trata a causa do desgaste.
- Utilizados com cautela e em número limitado de aplicações devido a possíveis efeitos colaterais.
Ácido Hialurônico (Viscossuplementação):
- O ácido hialurônico é uma substância naturalmente presente no líquido sinovial das articulações, agindo como um "lubrificante" e absorvedor de choque.
- A infiltração de ácido hialurônico (viscossuplementação) visa restaurar essas propriedades, aliviando a dor e melhorando a mobilidade.
- Pode ser mais eficaz em casos de artrose mais leve a moderada.
Tratamentos Cirúrgicos: Quando a Solução Está na Intervenção

Quando a dor e a limitação funcional são severas e não respondem aos tratamentos não cirúrgicos, a cirurgia pode ser a melhor opção para restaurar a qualidade de vida. As principais cirurgias para artrose do tornozelo são:
Artrodese de Tornozelo:
- O que é: É a fusão dos ossos da articulação do tornozelo. O cirurgião remove a cartilagem danificada e une a tíbia ao tálus, usando parafusos e placas para manter os ossos no lugar até que cicatrizem e se tornem um só.
- Indicação: Geralmente reservada para casos de artrose avançada, com dor intensa e deformidade significativa, onde outras opções falharam.
- Resultados: Elimina a dor, pois o movimento na articulação fusionada não existe mais. A desvantagem é a perda total da mobilidade do tornozelo, o que pode exigir adaptações na forma de caminhar, embora muitos pacientes consigam uma marcha satisfatória.
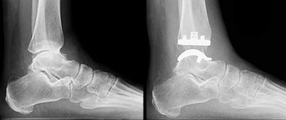
Prótese de Tornozelo (Artroplastia Total de Tornozelo):
- O que é: Envolve a substituição da articulação do tornozelo por componentes artificiais de metal e plástico, restaurando uma superfície lisa para o movimento.
- Indicação: É uma opção para pacientes com artrose avançada que desejam manter a mobilidade da articulação. A seleção do paciente é crucial, sendo indicada para aqueles com menor demanda física e sem grandes deformidades.
- Vantagens: Preserva o movimento do tornozelo, resultando em uma marcha mais natural e menos sobrecarga nas articulações adjacentes do pé.
- Desvantagens: Requer uma cirurgia complexa, e a prótese tem uma vida útil limitada, podendo precisar de revisão no futuro.
Outras Técnicas Cirúrgicas:
Em casos selecionados e mais leves, podem ser consideradas artroscopias para limpeza articular ou osteotomias para correção de deformidades e realinhamento da articulação.
Depoimentos de Pacientes: Histórias de Superação e Alívio
Conclusão

A artrose do tornozelo é uma condição que pode ser dolorosa e limitante, mas você não precisa conviver com a dor. Com o diagnóstico correto e um plano de tratamento personalizado, é possível recuperar a mobilidade, aliviar o desconforto e voltar a desfrutar de suas atividades diárias.
Se você ou alguém que você conhece está sofrendo com dores no tornozelo, não hesite em procurar ajuda especializada. Um especialista em pé e tornozelo pode fazer toda a diferença em seu caminho para a recuperação.
Agende sua consulta com o Dr. Felipe Serzedello hoje mesmo e dê o primeiro passo em direção a uma vida sem dor!
Perguntas Frequentes (FAQ) sobre Artrose do Tornozelo
1. O que é Artrose do Tornozelo?
É o desgaste da cartilagem que reveste as extremidades dos ossos do tornozelo (tíbia, fíbula e tálus). Esse desgaste faz com que os ossos se atritem, causando dor, inflamação e dificuldade de movimento.
2. A Artrose do Tornozelo é a mesma coisa que "bico de papagaio"?
Não exatamente. "Bico de papagaio" é o nome popular dos osteófitos, que são crescimentos ósseos que podem se formar nas bordas da articulação como uma resposta ao desgaste da cartilagem. Eles são um sintoma ou consequência da artrose, não a doença em si.
3. A Artrose no Tornozelo é mais comum que no joelho ou quadril?
Não. A artrose do tornozelo é menos comum que a do joelho e quadril. Na maioria dos casos, ela é uma consequência de traumas anteriores (fraturas, entorses graves) e não surge espontaneamente (artrose primária).
4. Quais são os principais sintomas da Artrose do Tornozelo?
Os sintomas mais comuns incluem:
- Dor no tornozelo que piora com o movimento e melhora com o repouso.
- Rigidez, especialmente pela manhã ou após períodos de inatividade.
- Inchaço na região do tornozelo.
- Dificuldade para movimentar o pé (subir ou descer escadas, caminhar).
- Estalos ou rangidos na articulação (crepitação).
5. A Artrose do Tornozelo tem cura?
A artrose é uma doença degenerativa e, em si, não tem uma "cura" no sentido de reverter completamente o desgaste da cartilagem. No entanto, o tratamento adequado – seja conservador ou cirúrgico – visa controlar a dor, melhorar a função e a qualidade de vida, permitindo que o paciente tenha uma vida ativa e sem sofrimento.
6. A fisioterapia realmente ajuda na Artrose do Tornozelo?
Sim, a fisioterapia é fundamental! Ela ajuda a reduzir a dor e o inchaço, melhora a amplitude de movimento, fortalece os músculos que dão suporte ao tornozelo e melhora o equilíbrio, retardando a progressão da doença e otimizando a função.
7. O que são as infiltrações e como elas funcionam?
Infiltrações são injeções de substâncias diretamente na articulação do tornozelo. As mais comuns são:
- Corticoides: Para aliviar rapidamente a dor e a inflamação.
- Ácido Hialurônico (Viscossuplementação): Atua como um "lubrificante" e absorvedor de choque, melhorando o conforto e a função da articulação.
8. Quando a cirurgia é indicada para a Artrose do Tornozelo?
A cirurgia é considerada quando os tratamentos não cirúrgicos (medicações, fisioterapia, palmilhas, infiltrações) não conseguem mais controlar a dor e a limitação funcional do paciente. Existem diferentes tipos de cirurgia, como a artrodese (fusão dos ossos) ou a prótese de tornozelo (substituição da articulação).
9. Qual a diferença entre Artrodese e Prótese de Tornozelo?
- Artrodese: Consiste na fusão dos ossos do tornozelo, eliminando a dor, mas também o movimento da articulação. É uma ótima opção para acabar com a dor em casos avançados.
- Prótese de Tornozelo: Substitui a articulação doente por componentes artificiais, visando preservar o movimento do tornozelo e aliviar a dor. A indicação depende de cada caso.
10. Devo usar palmilhas ortopédicas?
Palmilhas ortopédicas personalizadas, muitas vezes guiadas por exames como a baropodometria, podem ser muito úteis. Elas ajudam a corrigir desalinhamentos do pé, redistribuem a pressão e reduzem a carga sobre o tornozelo, diminuindo a dor e o desgaste. Seu ortopedista poderá indicar se são adequadas para o seu caso.











