Lesão da Sindesmose no Tornozelo: O Guia Completo para Entender e Tratar

A lesão da sindesmose do tornozelo, muitas vezes chamada de "entorse alta", é um tipo específico e sério de lesão que afeta a estabilidade do tornozelo. Diferente de uma entorse comum, ela compromete estruturas importantes que mantêm os ossos da perna unidos logo acima do pé. É uma condição que pode gerar dor significativa e impactar a capacidade de caminhar, correr e praticar esportes.
Neste guia completo, Dr. Felipe Serzedello, ortopedista especialista em pé e tornozelo, explica tudo o que você precisa saber sobre a lesão da sindesmose: desde sua anatomia e causas, até as opções de diagnóstico e tratamento mais modernas, incluindo as técnicas minimamente invasivas que priorizam a rápida recuperação do paciente.
O que é a Sindesmose no tornozelo e quais ligamentos estão envolvidos?

A sindesmose é uma estrutura crucial localizada na parte mais alta do tornozelo, entre os ossos da tíbia (o osso mais longo da canela) e da fíbula (o osso mais fino e lateral da canela). Pense nela como uma "pinça" ou um "arco" que une esses dois ossos, garantindo a estabilidade e a integridade da articulação do tornozelo.
Os principais ligamentos que formam e fortalecem a sindesmose são:
- Ligamento Tibiofibular Anterior Inferior (LTFAI): É o ligamento mais comumente lesionado na entorse da sindesmose. Localiza-se na parte da frente, unindo a tíbia e a fíbula.
- Ligamento Tibiofibular Posterior Inferior (LTFPI): Situado na parte de trás da articulação, é mais forte que o anterior e também contribui para a estabilidade.
- Ligamento Transverso: Uma parte mais profunda do ligamento tibiofibular posterior, que conecta a tíbia e a fíbula, dando suporte adicional.
- Membrana Interóssea: Uma fina, mas resistente, folha de tecido que se estende por toda a distância entre a tíbia e a fíbula, desde o joelho até o tornozelo, ajudando a manter os ossos unidos.
Quando esses ligamentos são esticados ou rompidos, a "pinça" perde sua função, e a estabilidade do tornozelo é comprometida, podendo levar a dor crônica e dificuldade funcional se não tratada adequadamente.
Sobre o Dr. Felipe Serzedello
Dr. Felipe Serzedello é um renomado médico ortopedista, especialista em cirurgia do pé e tornozelo (CRM: 175.829), com foco em atendimentos particulares, longos e personalizados. Sua paixão é o bem-estar do paciente, utilizando as mais modernas técnicas, incluindo abordagens minimamente invasivas, para tratar condições complexas como a lesão da sindesmose, joanete e fascite plantar, tanto em sedentários quanto em atletas.
Quais as causas e fatores de risco para a lesão da Sindesmose?

A lesão da sindesmose geralmente ocorre devido a um movimento de alta energia que força o tornozelo de forma específica, muitas vezes diferente de uma entorse lateral comum.
Causas Comuns:
Rotação Externa do Pé com o Tornozelo Dobrado (Dorsiflexão): Este é o mecanismo mais frequente. Acontece quando o pé é forçado para fora (rotação externa) enquanto o tornozelo está dobrado para cima. Exemplos incluem:
- Um jogador de futebol que tem o pé fixo no chão e o corpo gira sobre ele.
- Um esquiador que cai e o esqui permanece preso, girando a perna.
- Atletas de basquete e vôlei em aterrissagens desajeitadas.
Impacto Direto: Um golpe forte na lateral da perna ou no tornozelo.
Quedas de Altura: A força do impacto pode gerar a lesão.
Fatores de Risco:
- Prática de Esportes: Futebol, basquete, hóquei, esqui e futebol americano são esportes com alto risco devido aos movimentos rotacionais e de contato.
- Uso de Calçados Inadequados: Calçados que não oferecem suporte adequado ao tornozelo podem aumentar o risco.
- Histórico de Entorses de Tornozelo: Embora a lesão da sindesmose seja diferente, um tornozelo previamente enfraquecido pode ser mais suscetível a novas lesões.
- Atividades Profissionais: Algumas profissões que exigem movimentos repetitivos ou exposição a impactos podem aumentar o risco.
Quais são os sintomas de uma lesão da Sindesmose?

Os sintomas de uma lesão da sindesmose podem ser semelhantes aos de uma entorse comum no início, o que pode atrasar o diagnóstico. No entanto, algumas características ajudam a diferenciá-la:
- Dor na Parte Superior e Frontal do Tornozelo: A dor é frequentemente sentida um pouco acima da articulação principal do tornozelo, entre a tíbia e a fíbula, e piora ao apoiar o pé no chão.
- Piora da Dor ao Girar o Pé para Fora (Rotação Externa): Este movimento costuma exacerbar a dor, pois estressa os ligamentos da sindesmose.
- Inchaço e Hematomas: Podem ocorrer, dependendo da gravidade da lesão.
- Dificuldade para Caminhar ou Suportar Peso: O paciente pode mancar significativamente e ter dificuldade para colocar peso sobre o pé lesionado.
- Sensação de Instabilidade: Em casos mais graves, pode haver uma sensação de que o tornozelo está "solto" ou instável.
É fundamental procurar avaliação médica se você suspeitar de uma lesão na sindesmose, pois um diagnóstico e tratamento precoces são cruciais para evitar complicações a longo prazo.
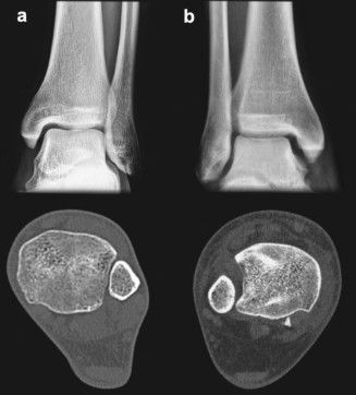
Como é feito o diagnóstico da lesão da Sindesmose? Qual a importância da tomografia com carga simulada para definição de conduta?

O diagnóstico da lesão da sindesmose requer uma avaliação cuidadosa por um especialista em pé e tornozelo.
Exame Clínico Detalhado:
O médico fará perguntas sobre o mecanismo da lesão e os sintomas.
Serão realizados testes físicos específicos para avaliar a estabilidade da sindesmose, como:
- Teste de Compressão (Squeeze Test): O médico aperta a tíbia e a fíbula na metade da perna. Se houver dor no tornozelo, sugere lesão da sindesmose.
- Teste de Rotação Externa (External Rotation Stress Test): O médico gira o pé para fora enquanto estabiliza a perna. Dor na região da sindesmose indica instabilidade.
Exames de Imagem:
- Radiografias (Raios-X): As radiografias iniciais podem mostrar um alargamento do espaço entre a tíbia e a fíbula (diástase) ou fraturas associadas. No entanto, muitas vezes, em repouso, as radiografias podem parecer normais, mesmo com uma lesão significativa.
- Ressonância Magnética (RM): É excelente para visualizar os ligamentos e identificar o grau da lesão, se há ruptura parcial ou total.
- Tomografia Computadorizada (TC): A TC oferece imagens detalhadas dos ossos.
A Tomografia Computadorizada com Carga Simulada:
Este exame é uma ferramenta diagnóstica revolucionária e de extrema importância para definir a conduta em lesões da sindesmose.
Como funciona:
O exame é realizado com o paciente apoiando peso ou sob uma carga controlada no tornozelo, simulando a pressão que a articulação sofreria durante atividades diárias.
Por que é crucial:
- Revela Instabilidade Oculta: Muitas vezes, uma sindesmose pode parecer estável em exames de imagem feitos em repouso. A carga simulada "desmascara" a instabilidade, mostrando um alargamento anormal da pinça tibiofibular que não seria visível de outra forma.
- Guia a Decisão Cirúrgica: Ao identificar essa instabilidade dinâmica, o exame ajuda o ortopedista a determinar se o tratamento cirúrgico é necessário, mesmo em casos que, à primeira vista, pareceriam menos graves.
- Otimiza o Tratamento: Com um diagnóstico mais preciso da instabilidade real, o Dr. Felipe Serzedello pode planejar a intervenção mais adequada, garantindo melhores resultados e uma recuperação mais eficaz para o paciente.
A baropodometria, que também é um exame oferecido, pode ser útil na avaliação da pisada e distribuição de carga após a recuperação, mas a TC com carga simulada é o diferencial no diagnóstico da lesão em si.
A lesão da Sindesmose só ocorre associada a fraturas?

Não! Embora a lesão da sindesmose seja frequentemente associada a fraturas do tornozelo (como as fraturas de Maisonneuve ou certas fraturas de Weber B e C), ela pode ocorrer de forma isolada.
- Lesão Associada a Fraturas: Nesses casos, a força que causa a fratura do tornozelo também afeta os ligamentos da sindesmose, resultando em uma lesão combinada que exige atenção redobrada no tratamento.
- Lesão Isolada: Uma lesão isolada da sindesmose ocorre sem que haja nenhuma fratura óssea aparente no tornozelo. Essas lesões são muitas vezes as mais desafiadoras de diagnosticar, pois podem ser confundidas com uma entorse de tornozelo comum. Por essa razão, a importância da tomografia com carga simulada é ainda maior nesses casos, pois ela pode revelar a instabilidade que não é vista em exames convencionais.
É vital que o médico ortopedista saiba diferenciar esses tipos de lesão, pois o tratamento e o prognóstico podem variar significativamente. A falha em diagnosticar uma lesão isolada da sindesmose pode levar à instabilidade crônica do tornozelo, dor persistente e artrose precoce.
Como é feito o tratamento da lesão da Sindesmose?

O tratamento da lesão da sindesmose depende de diversos fatores, incluindo a gravidade da lesão, a presença ou ausência de instabilidade e se há fraturas associadas.
Tratamento Conservador (Não Cirúrgico):
Indicado para lesões de baixa gravidade, onde não há instabilidade significativa da sindesmose (confirmado por exames como a TC com carga simulada).
- Repouso, Gelo, Compressão e Elevação (RICE): Medidas iniciais para controlar o inchaço e a dor.
- Imobilização: O uso de uma bota imobilizadora ou gesso por algumas semanas para proteger a articulação e permitir a cicatrização dos ligamentos.
- Fisioterapia: Essencial para restaurar a amplitude de movimento, força, equilíbrio e propriocepção (capacidade de sentir a posição do corpo no espaço).
- Órteses/Palmilhas: Em alguns casos, palmilhas personalizadas podem ser recomendadas para otimizar a distribuição de carga e o suporte ao tornozelo.
Tratamento Cirúrgico:
Recomendado para casos em que há instabilidade da sindesmose, seja ela associada ou não a fraturas. O objetivo da cirurgia é restaurar a estabilidade da "pinça" tibiofibular.
Redução e Fixação:
O cirurgião reposiciona os ossos da tíbia e fíbula na sua posição anatômica correta (redução) e os fixa com dispositivos para permitir a cicatrização dos ligamentos.
Técnicas Minimamente Invasivas:
Dr. Felipe Serzedello utiliza técnicas modernas e minimamente invasivas sempre que possível, o que pode resultar em:
- Menores incisões.
- Menos dor pós-operatória.
- Cicatrização mais rápida.
- Menor tempo de recuperação.
Parafuso ou Tightrope? Qual a melhor opção e preciso remover o material depois de um tempo?

A escolha entre parafuso e Tightrope (ou "sutura em botão") é um dos pontos mais importantes e discutidos no tratamento cirúrgico da lesão da sindesmose. Ambas as técnicas visam estabilizar a pinça do tornozelo, mas funcionam de maneiras diferentes e apresentam vantagens e desvantagens.
Parafuso (Fixação com Parafuso Transindesmótico):
Como funciona:
- Um ou mais parafusos metálicos são inseridos através da fíbula, da sindesmose e da tíbia, fixando os dois ossos firmemente.
Vantagens:
- Técnica tradicional, resultados comprovados em estabilidade inicial.
Desvantagens:
- Rigidez: O parafuso cria uma fixação rígida, o que pode limitar a mobilidade natural da sindesmose.
- Necessidade de Remoção: Geralmente, o parafuso precisa ser removido em uma segunda cirurgia (entre 6 a 12 semanas após a primeira), especialmente em atletas ou pessoas ativas, para permitir o movimento normal da sindesmose e evitar a quebra do parafuso por fadiga do material.
- Complicações: Risco de quebra do parafuso antes da cicatrização, irritação dos tecidos moles.
Tightrope (Fixação com Sutura em Botão ou Sistema de Fita):
Como funciona:
- É um sistema dinâmico que utiliza uma sutura de alta resistência (fita) com dois "botões" metálicos em cada extremidade. A fita passa pelos ossos da fíbula e tíbia, e os botões fixam a fita nas superfícies ósseas, mantendo os ossos unidos.
Vantagens:
- Fixação Dinâmica: Permite um micro-movimento natural entre a tíbia e a fíbula, o que é crucial para a biomecânica normal do tornozelo. Isso pode reduzir o risco de artrose precoce.
- Não Necessita Remoção: Na maioria dos casos, o Tightrope não precisa ser removido, eliminando a necessidade de uma segunda cirurgia.
- Recuperação Mais Rápida: Pacientes podem iniciar a mobilização e o apoio de peso mais precocemente em comparação com a fixação rígida.
Desvantagens:
- Custo um pouco mais elevado, técnica que exige treinamento específico do cirurgião.
Qual a melhor opção?
A escolha entre parafuso e Tightrope é individualizada e deve ser discutida com seu cirurgião. Dr. Felipe Serzedello avaliará seu caso, nível de atividade e as características da lesão para recomendar a melhor abordagem. Frequentemente, a técnica com Tightrope é preferida devido aos seus benefícios dinâmicos e à eliminação da necessidade de uma segunda cirurgia, especialmente para pacientes mais jovens e ativos.
Como é o retorno às atividades após a lesão da Sindesmose?

O processo de retorno às atividades após uma lesão da sindesmose, seja ela tratada conservadoramente ou cirurgicamente, é gradual e exige paciência e dedicação à reabilitação.
Fases da Reabilitação:
Fase de Proteção (0-6 semanas):
- Objetivo: Proteger a cicatrização dos ligamentos e reduzir a dor e o inchaço.
- Atividades: Imobilização (bota ou gesso), uso de muletas, repouso.
- Fisioterapia: Exercícios leves de mobilidade do pé e dedos (se permitido), exercícios isométricos.
Fase de Mobilidade e Fortalecimento (6-12 semanas):
- Objetivo: Recuperar a amplitude total de movimento, iniciar o fortalecimento muscular e o apoio progressivo de peso.
- Atividades: Remoção da imobilização (se o Tightrope foi utilizado, o apoio pode ser antes), exercícios de alongamento, fortalecimento da musculatura da perna e tornozelo.
- Fisioterapia: Exercícios resistidos, uso de faixas elásticas.
Fase de Retorno Funcional e Propriocepção (12-24 semanas):
- Objetivo: Restaurar o equilíbrio, a coordenação e a capacidade do tornozelo de reagir a mudanças de terreno e movimentos rápidos.
- Atividades: Exercícios de equilíbrio (pranchas de equilíbrio), caminhadas em terrenos irregulares, início de atividades de baixo impacto (bicicleta, natação).
- Fisioterapia: Treino de propriocepção intensivo, exercícios funcionais específicos para o esporte ou atividade do paciente.
Fase de Retorno ao Esporte/Atividade Plena (A partir de 24 semanas ou mais):
- Objetivo: Retorno seguro e gradual às atividades esportivas ou de trabalho em tempo integral.
- Atividades: Treinamento específico para o esporte, aumento progressivo da intensidade e volume.
- Critérios de Retorno: A decisão de voltar ao esporte é baseada em critérios funcionais, não apenas em tempo, incluindo força, agilidade, equilíbrio e ausência de dor.
Depoimentos de Pacientes
Agende sua Consulta com Dr. Felipe Serzedello

Se você apresenta sintomas de lesão da sindesmose ou tem dúvidas sobre a saúde do seu pé e tornozelo, não hesite em procurar ajuda especializada. O diagnóstico precoce e o tratamento adequado são a chave para uma recuperação bem-sucedida.











