Sesamoidite: Entenda a Dor no Pé e Como Aliviar Este Incômodo Comum

Sofre com uma dor persistente na sola do seu pé, bem na base do dedão? Essa sensação incômoda pode ser um sinal de sesamoidite, uma condição que afeta tanto atletas de alta performance quanto pessoas que levam uma vida mais sedentária. Nossos pés são estruturas complexas, e cada pequena parte desempenha um papel fundamental em nossa mobilidade e bem-estar.
Neste artigo completo, vamos desvendar tudo sobre a sesamoidite: o que é, por que acontece, como é diagnosticada e, o mais importante, quais são os tratamentos mais eficazes para você voltar a caminhar e se exercitar sem dor. Prepare-se para conhecer melhor seu corpo e descobrir como o cuidado especializado pode fazer toda a diferença na sua saúde podal!
O que é o osso sesamoide do pé e qual sua função?

Imagine que o corpo humano é uma máquina cheia de engrenagens e peças especiais. Os ossos sesamoides são como essas peças especiais, pequenos e essenciais! O mais famoso deles é a patela, o osso que temos no joelho. Mas você sabia que temos outros ossos "escondidos" nos pés?
No pé, os sesamoides são dois ossinhos bem pequenos, do tamanho de um grão de feijão, localizados na parte de baixo da cabeça do primeiro metatarso – que é o osso longo que liga a parte do meio do pé ao seu dedão (hálux). Eles ficam mergulhados dentro dos tendões que passam por ali, e não se conectam diretamente a outros ossos através de articulações típicas, por isso são chamados de ossos "flutuantes".
Qual a função desses pequenos notáveis?
Apesar do tamanho, os sesamoides têm um papel gigante no seu pé! Eles agem como pequenas "polias" para os tendões, aumentando a força dos músculos que movem o dedão. Pense neles como:
- Alavancas de força: Ajudam a impulsionar o corpo para frente quando você caminha, corre ou salta.
- Protetores de tendões: Protegem os tendões do dedão contra o atrito e a pressão constante.
- Amortecedores: Ajudam a absorver o impacto e a distribuir o peso do corpo durante o movimento.
Sem eles, o dedão não teria a mesma potência para empurrar o chão, e você sentiria o impacto de cada passo de forma mais intensa.
O que é Sesamoidite e por que ela ocorre?

Agora que sabemos a importância dos sesamoides, fica mais fácil entender o que acontece quando eles começam a doer. A sesamoidite nada mais é do que a inflamação desses ossos sesamoides e/ou dos tendões que os envolvem, gerando dor na parte de baixo do dedão do pé.
É como se a região ficasse sobrecarregada, irritada e inchada por dentro, causando um desconforto que pode variar de leve a muito intenso. Basicamente, a sesamoidite é uma condição de uso excessivo, onde os sesamoides são submetidos a um estresse repetitivo que excede a capacidade de recuperação dos tecidos.
Por que isso acontece?
Geralmente, a sesamoidite surge por:
- Sobrecarga: Força e pressão excessivas e contínuas na região.
- Trauma repetitivo: Microtraumas que se acumulam ao longo do tempo, como em atividades de impacto.
Essa inflamação pode ser bastante limitante, dificultando tarefas simples como caminhar ou ficar em pé,
Sobre o Dr. Felipe Serzedello
O Dr. Felipe Serzedello (CRM - SP 175.829) é um ortopedista renomado, especialista em pé e tornozelo, dedicado a oferecer um atendimento de excelência e humanizado. Com um profundo conhecimento em condições como a sesamoidite, ele proporciona consultas personalizadas, com foco na raiz do problema e na reabilitação completa do paciente.
Dr. Felipe utiliza técnicas modernas de diagnóstico, como a baropodometria, e busca sempre as soluções mais eficazes, incluindo tratamentos minimamente invasivos quando apropriado. Sua prioridade é o seu bem-estar e o retorno às suas atividades sem dor.
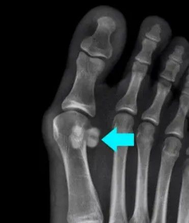
Existe fratura de sesamoide? Qual a diferença entre fratura e sesamoide bipartido?

Sim, os sesamoides são ossos e, como qualquer outro osso do corpo, podem fraturar. A fratura do sesamoide pode ocorrer de duas maneiras principais:
- Fratura aguda: Causada por um trauma direto e súbito, como um pisão, a queda de um objeto pesado sobre o pé, ou um movimento brusco e de alto impacto. A dor costuma ser forte e imediata.
- Fratura por estresse: Mais comum em atletas, acontece devido ao estresse repetitivo e contínuo sobre o osso, que vai gerando microlesões até que uma rachadura ou fratura completa ocorra. A dor, neste caso, desenvolve-se gradualmente.
Mas, o que é um sesamoide bipartido? É a mesma coisa que uma fratura?
Não, e é fundamental entender a diferença! O sesamoide bipartido é uma condição congênita, ou seja, a pessoa já nasce com ela. Significa que, durante o desenvolvimento, o osso sesamoide não se fundiu completamente, e ele aparece como se estivesse naturalmente dividido em dois (ou mais) pedacinhos.
As principais diferenças são:
- Origem: A fratura é uma lesão adquirida, geralmente por trauma ou sobrecarga. O sesamoide bipartido é uma variação anatômica normal presente desde o nascimento.
- Sintomas: A maioria das pessoas com sesamoide bipartido não sente dor. A dor só aparece se houver uma inflamação (sesamoidite) ou estresse excessivo sobre ele. Já uma fratura causa dor, muitas vezes, intensa.
- Bordas: Em um exame de imagem, as bordas de uma fratura são geralmente irregulares e nítidas. As bordas de um sesamoide bipartido são lisas, arredondadas e bem definidas, indicando que não houve um trauma recente que as tenha quebrado.
Por que essa distinção é importante? Porque o tratamento é diferente! É por isso que um diagnóstico preciso, feito por um especialista, é fundamental.
Quais as causas e fatores de risco para Sesamoidite?

A sesamoidite é, em sua essência, uma lesão de sobrecarga. Diversos fatores podem contribuir para que esses pequenos ossos e os tendões ao redor fiquem inflamados.
Causas Comuns:
Atividades de impacto:
Qualquer atividade que coloque pressão excessiva e repetitiva na parte da frente do pé pode ser um gatilho. Isso inclui:
- Corredores: Especialmente aqueles que correm em superfícies duras ou com pisada que concentra o peso no antepé.
- Dançarinos (balé, jazz): Os movimentos em "ponta dos pés" ou que exigem impulso constante sobre os metatarsos.
- Atletas de salto: Basquete, vôlei, atletismo (salto em distância, salto triplo).
- Futebol: Movimentos de chute e arrancadas rápidas.
Calçados Inadequados:
A escolha do sapato tem um grande impacto na saúde dos seus pés.
- Sapatos de salto alto: Concentram todo o peso na parte da frente do pé, sobrecarregando os sesamoides.
- Calçados com sola muito fina ou rígida: Não oferecem amortecimento adequado.
- Tênis desgastados: Perdem a capacidade de absorver impacto.
- Sapatos muito apertados: Comprimem os dedos e alteram a mecânica da pisada
Alterações Biomecânicas e Estruturais do Pé:
Algumas características do seu pé podem aumentar o risco:
- Pé cavo: O arco do pé é muito alto, o que pode aumentar a pressão na região do antepé.
- Dedão rígido (Hallux Rigidus): A limitação do movimento do dedão pode forçar os sesamoides.
- Pronação excessiva: O pé "cai para dentro" durante a pisada, alterando a distribuição de peso.
- Diferenças no comprimento das pernas: Pode levar a uma compensação na pisada, sobrecarregando um dos pés.
Aumento Súbito de Atividade:
Começar uma nova rotina de exercícios ou aumentar drasticamente a intensidade ou o volume de um treino sem a devida progressão.
Fatores de Risco:
- Idade: Mais comum em adultos jovens e ativos (20 a 40 anos), mas pode afetar qualquer faixa etária.
- Sexo: Ligeiramente mais frequente em mulheres, muitas vezes associado ao uso de sapatos de salto alto.
- Tipo de pé: Pés cavos ou com o dedão (hálux) mais longo.
- Ocupação: Profissões que exigem longos períodos em pé ou caminhando em superfícies duras.
- Histórico de outras lesões no pé: Pode indicar uma predisposição a problemas biomecânicos.
Como a Sesamoidite afeta atividades físicas e esportivas?

Para quem pratica atividades físicas, a sesamoidite pode ser um verdadeiro obstáculo. A dor localizada na base do dedão interfere diretamente em movimentos essenciais e pode comprometer seriamente a performance e a continuidade dos treinos.
Impacto na Performance:
- Dor durante o impulso: A dor geralmente piora na fase de impulso da passada, quando o peso do corpo é transferido para a ponta do pé, diminuindo a força e a eficiência do movimento.
- Limitação de movimentos: Dificuldade em saltar, correr, fazer movimentos explosivos, girar ou até mesmo permanecer na ponta dos pés.
- Compensações biomecânicas: Para evitar a dor, o corpo pode começar a compensar, alterando a forma de pisar ou distribuir o peso. Essas compensações podem levar a outras lesões no pé, tornozelo, joelho ou quadril.
- Redução da intensidade ou abandono do esporte: Em casos mais graves, a dor pode ser tão incapacitante que o atleta precisa reduzir drasticamente a intensidade dos treinos ou até mesmo parar temporariamente de praticar o esporte.
Esportes Mais Afetados:
- Ballet e Dança: Movimentos que exigem ficar na ponta dos pés (en pointe) ou semi-pontas (demi-pointe) exercem uma pressão extrema nos sesamoides.
- Corridas de Longa Distância e Velocidade: A repetição constante do ciclo de pisada, especialmente com aterrisagem na parte da frente do pé.
- Basquete e Vôlei: Devido aos saltos e aterrissagens frequentes.
- Futebol e Tênis: Exigem mudanças rápidas de direção, arrancadas e paradas bruscas, que sobrecarregam o antepé.
- Ginástica Olímpica: Exercícios que exigem equilíbrio e apoio na ponta dos pés.
Quando considerar parar a atividade física?
É importante ouvir seu corpo. Se a dor:
- Persiste ou piora significativamente durante ou após o exercício.
- Causa uma limitação funcional clara.
- Vem acompanhada de inchaço, vermelhidão ou dificuldade para andar.
Nesses casos, a interrupção temporária e a busca por avaliação profissional são essenciais para evitar o agravamento da lesão.
Quais são os sintomas da Sesamoidite?

Os sintomas da sesamoidite são geralmente claros e localizados, mas é importante reconhecê-los para buscar ajuda.
Sintomas Principais:
- Dor localizada: O sintoma mais proeminente é uma dor na parte de baixo do pé, especificamente sob a base do dedão. Essa dor pode ser constante ou aparecer e desaparecer.
- Piora com atividade: A dor tende a aumentar ao caminhar, correr, subir escadas, usar sapatos de salto alto, ficar na ponta dos pés ou qualquer atividade que coloque pressão sobre o antepé.
- Alívio com repouso: Em contrapartida, a dor geralmente melhora ou desaparece com o repouso e quando se evita colocar peso na região afetada.
- Dor à palpação: A região dos sesamoides fica sensível ao toque, e pressionar o local pode causar dor.
Sintomas Associados:
- Inchaço: Pode haver um leve inchaço (edema) na parte inferior do dedão.
- Rigidez: Sensação de rigidez no dedão, especialmente pela manhã ou após um período de inatividade.
- Dificuldade para usar sapatos: Calçados apertados ou que pressionam o antepé podem exacerbar a dor.
- Claudicação (Mancar): Em casos mais severos, a dor pode ser tão intensa que a pessoa começa a mancar para evitar apoiar o peso sobre a área dolorida.
Progressão dos Sintomas (como a dor pode evoluir):
- Fase inicial: A dor aparece apenas durante ou logo após atividades físicas intensas.
- Fase moderada: A dor se manifesta durante caminhadas mais longas ou atividades do dia a dia, mas melhora com repouso.
- Fase avançada: A dor é quase constante, afetando até mesmo atividades simples como ficar em pé ou calçar sapatos, mesmo após períodos de repouso.
É fundamental não ignorar esses sinais, pois o tratamento precoce pode prevenir o agravamento da condição.
Como é feito o diagnóstico da Sesamoidite?

O diagnóstico da sesamoidite exige uma avaliação cuidadosa por um especialista em pé e tornozelo, como o Dr. Felipe Serzedello. Ele combina a história clínica do paciente, um exame físico detalhado e, quando necessário, exames complementares.
Avaliação Clínica:
- História detalhada: O médico perguntará sobre o início dos sintomas, as atividades que os desencadeiam ou pioram, o tipo de calçado utilizado, seu histórico de saúde e atividades físicas.
- Exame físico: O especialista irá examinar o pé e o tornozelo, buscando por inchaço, vermelhidão ou sensibilidade na região dos sesamoides. Ele também avaliará a amplitude de movimento do dedão e a forma como você caminha (análise da marcha).
- Testes específicos: Manobras como a dorsiflexão forçada do dedão (flexionar o dedão para cima) costumam reproduzir a dor na sesamoidite.
Exames Complementares:
Para confirmar o diagnóstico, descartar outras condições e planejar o melhor tratamento, podem ser solicitados exames de imagem:
Radiografia (Raio-X):
- É o primeiro exame solicitado.
- Ajuda a identificar fraturas nos sesamoides.
- É essencial para diferenciar entre uma fratura e um sesamoide bipartido (como discutido anteriormente, as bordas são diferentes).
- Pode mostrar sinais de esclerose (endurecimento) óssea, indicando estresse crônico.
Ressonância Magnética (RM):
- Considerado o exame mais detalhado para avaliação dos sesamoides e tecidos moles.
- Permite visualizar a inflamação dos ossos (edema ósseo) e dos tendões ao redor.
- Diferencia claramente a sesamoidite de outras condições como bursite ou tendinite.
- Avalia a integridade dos tendões e ligamentos próximos.
Ultrassom:
- Útil para avaliar tendões e possíveis bursites (inflamação das pequenas bolsas que servem como "almofadas" nas articulações).
- Pode identificar coleções líquidas e alterações nos tecidos moles.
Cintilografia Óssea:
- Reservada para casos em que o diagnóstico ainda é incerto.
- Detecta áreas de alta atividade metabólica óssea, que podem indicar inflamação, fratura por estresse ou outras alterações.
Diagnósticos Diferenciais (Condições com sintomas semelhantes):
É importante que o médico avalie outras possíveis causas para a dor no antepé, como:
- Fratura por estresse do metatarso (osso longo antes do dedão).
- Bursite (inflamação das bursas, pequenas bolsas cheias de líquido).
- Neuroma de Morton (compressão de um nervo entre os dedos).
- Artrite da articulação metatarsofalângica (inflamação da articulação do dedão).
- Gota (tipo de artrite causada por acúmulo de ácido úrico).
Qual o tratamento para Sesamoidite?

O tratamento da sesamoidite geralmente começa com abordagens conservadoras, ou seja, sem cirurgia. O objetivo principal é aliviar a dor, reduzir a inflamação e permitir a cicatrização, além de corrigir os fatores que causaram o problema.
Tratamento Conservador (Primeira Linha de Ação):
Medidas Imediatas (para controle da dor e inflamação):
- Repouso Relativo: É crucial reduzir ou evitar as atividades que desencadeiam ou pioram a dor. Isso não significa imobilização total, mas sim adaptar ou pausar temporariamente as atividades de impacto.
- Gelo (Crioterapia): Aplicar compressas de gelo na área afetada por 15-20 minutos, 3-4 vezes ao dia, especialmente nas primeiras 48-72 horas ou após atividades que causaram dor. Ajuda a reduzir a inflamação e o inchaço.
- Medicamentos Anti-inflamatórios: Analgésicos e anti-inflamatórios não esteroides (AINEs) podem ser prescritos pelo seu médico para controlar a dor e a inflamação. O uso deve ser sempre sob orientação profissional.
- Elevação: Manter o pé elevado sempre que possível, especialmente quando estiver descansando, para ajudar a reduzir o inchaço.
Tratamento de Médio Prazo (para reabilitação e prevenção):
Fisioterapia:
É um pilar fundamental no tratamento da sesamoidite. O fisioterapeuta pode utilizar diversas técnicas:
- Exercícios de fortalecimento: Para os músculos intrínsecos do pé (que dão suporte ao arco) e para os músculos da panturrilha.
- Alongamentos: Específicos para a fáscia plantar e a musculatura da panturrilha, que podem influenciar a mecânica do pé.
- Mobilização articular: Para restaurar a mobilidade normal do dedão.
- Técnicas de liberação miofascial: Para aliviar tensões nos tecidos moles ao redor.
- Eletroterapia: Ultrassom, laser e TENS podem ser usados para controle da dor e inflamação.
Modificação de Calçados:
- Utilizar sapatos com bom amortecimento, solas mais rígidas (para diminuir a flexão do dedão) e bico largo para não comprimir os dedos.
- Evitar salto alto durante o período de recuperação e, se possível, diminuir o uso no dia a dia.
- Substituir tênis esportivos desgastados.
Órteses e Palmilhas Personalizadas:
- (Serão detalhadas na próxima seção) São cruciais para redistribuir a pressão e dar suporte adequado ao pé.
Infiltrações:
- Em casos de dor persistente e inflamação significativa, o médico pode considerar injeções de corticosteroides na região. Este procedimento deve ser feito com cautela e sob ultrassom para precisão.
Tratamentos Complementares:
- Acupuntura: Pode ser utilizada como uma terapia adjuvante para controle da dor e estímulo à recuperação.
- Ondas de Choque Extracorpórea: Em alguns casos resistentes, pode ser indicada para estimular a cicatrização e reduzir a dor crônica.
Tratamento Cirúrgico:
A cirurgia para sesamoidite é a última opção e é considerada apenas em casos muito específicos e após a falha do tratamento conservador bem conduzido por pelo menos 6 a 12 meses.
Indicações:
- Geralmente reservada para fraturas de sesamoide que não consolidam, sesamoidite crônica e refratária com dor incapacitante, ou quando há fragmentação óssea que impede a recuperação.
Procedimentos:
- Sesamoidectomia: Remoção parcial ou total de um dos sesamoides.
- Liberação de aderências: Desobstrução de tecidos que podem estar prendendo os tendões.
- Correção de deformidades associadas: Se a sesamoidite for causada ou agravada por outras deformidades no pé.
Importante: A cirurgia nos sesamoides não é isenta de riscos e pode ter complicações, como a alteração da biomecânica do pé ou a persistência da dor. Por isso, a decisão deve ser sempre muito bem avaliada por um especialista.
Como as palmilhas ajudam no tratamento da Sesamoidite?

As palmilhas personalizadas desempenham um papel vital no tratamento e na prevenção da sesamoidite, sendo uma das ferramentas mais eficazes para aliviar a dor e corrigir a biomecânica do pé.
Mecanismo de Ação:
- Redistribuição de pressão: A função mais importante da palmilha é aliviar a pressão direta sobre os sesamoides inflamados. Elas são desenhadas para transferir o peso e o impacto para outras áreas do pé que podem suportá-lo melhor.
- Amortecimento: As palmilhas com materiais macios e absorventes de choque reduzem o impacto direto nos ossos sesamoides durante a caminhada, corrida e outras atividades.
- Correção biomecânica: Uma palmilha feita sob medida pode corrigir desalinhamentos do pé e tornozelo (como a pronação excessiva ou um arco muito alto), otimizando a forma como o pé distribui a carga e aliviando o estresse sobre os sesamoides.
- Estabilização: Fornecem suporte e estabilidade ao pé, o que pode diminuir o movimento excessivo do dedão e a sobrecarga nos tendões.
Tipos de Palmilhas e Características Essenciais:
Palmilhas com recorte metatarsal ou alívio específico:
- São projetadas com uma área "vazia" ou com um material mais macio diretamente abaixo dos sesamoides afetados, criando um "buraco" ou "almofada" para que a pressão seja evitada naquele ponto.
- Essa técnica é extremamente eficaz para proteger a área dolorida enquanto o restante do pé recebe suporte.
Palmilhas com apoio retrocapital (metatarsal dome/pad):
- Possuem uma elevação sutil localizada logo atrás da cabeça dos metatarsos (e, portanto, atrás dos sesamoides).
- Essa elevação ajuda a levantar e apoiar os metatarsos, redistribuindo o peso para a parte central do pé e aliviando a pressão na região dos sesamoides.
Palmilhas Personalizadas (Feitas Sob Medida):
- São a opção ideal. Após uma avaliação detalhada, incluindo a baropodometria (exame que mede a distribuição de pressão plantar), a palmilha é moldada especificamente para o formato do seu pé e para suas necessidades biomecânicas.
- Elas levam em conta seu tipo de pisada, tipo de arco, comprimento dos dedos e a localização exata da dor.
Eficácia:
Estudos e a prática clínica mostram que a utilização de palmilhas adequadas pode levar a uma redução significativa da dor (em 70-80% dos casos) e melhora funcional em pacientes com sesamoidite. Elas são frequentemente a chave para permitir o retorno gradual e seguro às atividades diárias e esportivas.
Por que é importante buscar avaliação especializada?

A automedicação ou a tentativa de resolver a dor por conta própria pode mascarar o problema e, muitas vezes, atrasar um diagnóstico correto, levando ao agravamento da condição. É por isso que a avaliação de um especialista em pé e tornozelo, como o Dr. Felipe Serzedello, é indispensável.
Diagnóstico Preciso:
- Como vimos, a dor na sola do pé pode ter várias causas (sesamoidite, fratura, sesamoide bipartido, bursite, etc.). Somente um especialista tem o conhecimento e a experiência para diferenciar essas condições e chegar a um diagnóstico exato.
- Ele identificará os fatores causais específicos para o seu caso (calçados, biomecânica, tipo de atividade), essenciais para um tratamento eficaz.
- Avaliará a gravidade da lesão e o prognóstico, oferecendo uma visão clara do caminho a seguir.
Tratamento Personalizado:
- Cada paciente é único. Um plano de tratamento genérico pode não funcionar. O especialista criará um protocolo sob medida, combinando as melhores opções de tratamento (fisioterapia, palmilhas, medicamentos, etc.) para sua condição específica.
- Garantirá uma progressão segura do tratamento e do retorno às atividades, minimizando o risco de recaídas.
Prevenção de Complicações e Recidivas:
- Um tratamento inadequado pode levar à cronificação da dor, desenvolvimento de outras lesões por compensação ou até mesmo a necessidade de cirurgia. O especialista ajuda a evitar esses desfechos negativos.
- Oferecerá orientações valiosas sobre como prevenir futuras ocorrências de sesamoidite.
Acesso a Tecnologia e Exames Avançados:
- O especialista tem acesso e sabe interpretar exames como a baropodometria (análise da distribuição de pressão plantar), que é crucial para o design de palmilhas personalizadas.
- Utiliza a avaliação biomecânica para identificar alterações na marcha e na pisada que contribuem para a dor.
- Solicitará e interpretará exames de imagem especializados, como a Ressonância Magnética, quando necessário.
Acompanhamento e Suporte:
- O acompanhamento contínuo permite monitorar sua evolução, fazer ajustes no tratamento conforme necessário e garantir que você esteja no caminho certo para a recuperação total.
- Ter um médico de confiança ao seu lado oferece tranquilidade e segurança durante todo o processo.
Como prevenir a Sesamoidite?

A prevenção é sempre o melhor remédio, especialmente quando se trata de lesões por sobrecarga. Adotar algumas práticas simples pode reduzir drasticamente o risco de desenvolver sesamoidite.
Calçados Adequados:
- Escolha com sabedoria: Priorize sapatos com bom amortecimento no antepé e na sola em geral.
- Evite salto alto: Use sapatos de salto alto com moderação e por curtos períodos. Se precisar usar, alterne com calçados mais confortáveis.
- Renove seus tênis: Tênis esportivos perdem seu amortecimento com o tempo e o uso. Substitua-os regularmente (a cada 500-800 km ou anualmente, dependendo do uso).
- Especificidade: Use calçados específicos para cada atividade esportiva.
Progressão Gradual de Atividades Físicas:
- "Comece devagar e aumente aos poucos": Evite aumentar abruptamente a intensidade, duração ou frequência de seus treinos. Dê tempo para seu corpo se adaptar.
- Descanso é fundamental: Respeite os períodos de descanso e recuperação entre os treinos.
- Variedade: Alterne diferentes tipos de exercícios para evitar a sobrecarga repetitiva em uma única região (ex: alterne corrida com natação ou ciclismo).
Fortalecimento e Flexibilidade:
- Músculos do pé: Faça exercícios para fortalecer os músculos intrínsecos do pé, que são cruciais para o suporte do arco e a estabilidade.
- Alongamentos: Mantenha a flexibilidade da panturrilha e da fáscia plantar. Um dedão flexível também é importante.
Cuidados Gerais:
- Peso corporal: Manter um peso saudável reduz a carga sobre os pés.
- Superfícies de treino: Se possível, evite correr ou praticar esportes constantemente em superfícies muito duras como asfalto ou concreto.
- Palmilhas preventivas: Se você tem um tipo de pé que predispõe à sesamoidite (como pé cavo) ou pratica esportes de alto impacto, considere o uso de palmilhas personalizadas como medida preventiva.
Quando procurar ajuda médica urgente?

Embora a sesamoidite raramente seja uma emergência, existem situações em que a busca por atendimento médico deve ser imediata.
Sinais de Alerta para Urgência:
- Dor súbita e intensa: Especialmente após um trauma direto (queda, pisão, torção). Isso pode indicar uma fratura aguda.
- Incapacidade de apoiar o pé no chão: Se você não consegue colocar peso no pé sem sentir uma dor excruciante.
- Deformidade visível: Qualquer alteração na forma do seu pé ou dedão que não estava presente antes.
- Sinais de infecção: Vermelhidão intensa, calor na área, inchaço progressivo, pus, febre. Isso pode indicar uma infecção na área.
- Dormência ou formigamento persistente: Se houver perda de sensibilidade ou formigamento que se irradia para os dedos, pode ser um sinal de comprometimento nervoso.
Indicações para Consulta Médica Não Urgente, mas Necessária:
- Dor que não melhora com repouso, gelo e modificação de calçados após 2-3 dias.
- Limitação significativa das suas atividades diárias por causa da dor.
- Dor recorrente ou que piora progressivamente, mesmo com cuidados caseiros.
- Necessidade de orientação para retorno seguro a atividades esportivas.
Em qualquer um desses cenários, é crucial não postergar a consulta com um especialista.
Prognóstico: Qual o tempo de recuperação?

A boa notícia é que a maioria dos casos de sesamoidite tem um prognóstico muito bom com o tratamento adequado. No entanto, o tempo de recuperação pode variar bastante, dependendo de vários fatores:
Fatores que Influenciam o Tempo de Recuperação:
- Gravidade da lesão: Uma inflamação leve se recupera mais rápido do que uma fratura por estresse ou uma sesamoidite crônica.
- Tempo de evolução antes do tratamento: Quanto antes você buscar ajuda, mais rápido o problema tende a ser resolvido. Lesões crônicas levam mais tempo para cicatrizar.
- Aderência ao tratamento: Seguir rigorosamente as orientações médicas e de fisioterapia é fundamental.
- Atividade física praticada: Atletas de alto impacto podem precisar de um período de repouso mais longo e um retorno gradual mais cuidadoso.
- Presença de fatores agravantes: Se não forem corrigidos, calçados inadequados ou problemas biomecânicos podem prolongar a recuperação.
Tempos Médios de Recuperação:
- Casos Leves (inflamação inicial): Com repouso, gelo e mudança de calçados, a dor pode melhorar em 4 a 6 semanas.
- Casos Moderados (inflamação mais persistente, sem fratura): Podem levar de 2 a 4 meses com fisioterapia e uso de palmilhas personalizadas.
- Casos Graves (fratura por estresse ou sesamoidite crônica): A recuperação pode se estender por 6 a 12 meses, exigindo um protocolo de tratamento mais intensivo.
- Pós-Cirúrgico: Se a cirurgia for necessária, o período de recuperação e reabilitação pode ser de 3 a 6 meses ou mais, dependendo do procedimento.
Prognóstico Geral:
- Aproximadamente 85-90% dos casos de sesamoidite respondem muito bem ao tratamento conservador.
- O retorno completo às atividades normais e esportivas é esperado na grande maioria dos pacientes.
- Recidivas (o problema voltar) são raras quando os fatores causais são identificados e corrigidos, e o paciente mantém as medidas preventivas.
A paciência e a disciplina são seus maiores aliados na recuperação da sesamoidite. Confie no seu especialista e siga o plano para voltar à sua rotina sem dor!
Depoimentos de Pacientes
Conclusão

A sesamoidite, apesar de ser uma condição que afeta pequenos ossos, pode gerar um grande impacto na vida de quem a possui, limitando desde simples caminhadas até a prática de esportes de alto desempenho. No entanto, como vimos, ela é uma condição altamente tratável.
O segredo para uma recuperação bem-sucedida reside no diagnóstico precoce e em um tratamento especializado e personalizado.
Com a orientação de um especialista em pé e tornozelo, que pode identificar a causa, prescrever o tratamento correto (seja ele conservador, com fisioterapia, palmilhas personalizadas, ou em casos mais raros, cirurgia) e oferecer um plano de prevenção, você poderá retomar suas atividades e desfrutar de uma vida ativa e sem dor.
Não deixe a dor limitar sua vida. Se você suspeita de sesamoidite ou sente qualquer desconforto persistente no pé, procure ajuda profissional. Seus pés merecem esse cuidado!










