Artrose Tarso Metatarsal: Alivie a dor e Recupere o Movimento dos Seus Pés!

Sentir dor nos pés pode transformar simples tarefas diárias em desafios. Caminhar, ficar em pé ou até mesmo calçar um sapato podem se tornar um incômodo constante. Uma das causas para essa dor, muitas vezes negligenciada, é a artrose nas articulações tarso metatarsais. Mas não se preocupe! Entender o problema é o primeiro passo para encontrar alívio e recuperar a qualidade de vida.
Neste artigo, vamos explorar tudo sobre a Artrose Tarso Metatarsal, desde o que ela é até as opções de tratamento mais modernas, para que você possa dar adeus à dor e voltar a viver sem limitações.
O que são as articulações tarso metatarsais e por que elas são tão importantes?

Imagine o seu pé como uma estrutura complexa, com muitos ossos e articulações trabalhando em harmonia. As articulações tarso metatarsais estão localizadas na parte central do seu pé, onde os ossos do "tarso" (uma região mais atrás, próxima ao tornozelo) se encontram com os "metatarsos" (os ossos longos que dão origem aos seus dedos).
Elas são como a "base móvel" do seu arco, essenciais para a flexibilidade e estabilidade do pé. A função dessas articulações é primordial:
- Absorção de Impacto: Amortecem o choque a cada passo que você dá.
- Flexibilidade: Permitem que o pé se adapte a diferentes tipos de terreno.
- Estabilidade: Mantêm a estrutura do pé firme durante o movimento.
- Propulsão: Ajudam a impulsionar o corpo para frente ao caminhar ou correr.
Quando essas articulações estão saudáveis, você nem percebe o trabalho delas. Mas, quando algo não vai bem, a dor pode ser intensa e muito limitante.
Conheça o Dr. Felipe Serzedello: Seu especialista em pés e tornozelos
O Dr. Felipe Serzedello, ortopedista especialista em pé e tornozelo, dedica-se a oferecer um atendimento de excelência. Suas consultas são personalizadas, focadas em entender cada paciente para propor as melhores soluções.
Com grande expertise em cirurgias, incluindo o uso de técnicas minimamente invasivas sempre que possível, seu principal objetivo é priorizar o bem-estar e a recuperação plena, garantindo que você volte a ter uma vida ativa e sem dor.
O que é a Artrose Tarso Metatarsal?

A artrose é uma doença que causa o desgaste da cartilagem, aquele tecido que reveste as extremidades dos ossos nas articulações, permitindo que eles deslizem suavemente. Na Artrose Tarso Metatarsal, essa cartilagem se deteriora justamente nas articulações que acabamos de descrever.
Com o tempo, a cartilagem pode desaparecer por completo, fazendo com que os ossos se atritem diretamente. Esse atrito gera:
- Dor
- Inflamação
- Rigidez
- A formação de esporões ósseos (chamados osteófitos, ou "bicos de papagaio").
É um processo degenerativo que avança gradualmente, afetando a capacidade do seu pé de funcionar corretamente. Pode ocorrer em uma ou em várias das cinco articulações tarso metatarsais.
Quais as principais causas da Artrose Tarso Metatarsal?

A Artrose Tarso Metatarsal pode surgir por uma combinação de fatores. Conhecer as causas ajuda a entender como prevenir ou tratar a condição:
- Lesões e Traumas Anteriores: Fraturas, entorses graves ou outras lesões no médio pé, mesmo que antigas e aparentemente bem tratadas, podem desencadear o processo degenerativo anos depois.
- Inflamação Crônica: Doenças como a artrite reumatoide ou outras doenças inflamatórias sistêmicas podem agredir a cartilagem das articulações do pé.
- Biomecânica Alterada: Pés planos (chatos) ou pés cavos (com arco muito alto), assim como deformidades congênitas ou adquiridas, alteram a forma como o peso do corpo é distribuído, sobrecarregando essas articulações.
- Uso Excessivo e Repetitivo: Atividades de alto impacto, esportes ou profissões que exigem longos períodos em pé ou movimentos repetitivos podem acelerar o desgaste da cartilagem.
- Idade: Infelizmente, o envelhecimento natural do corpo leva ao desgaste da cartilagem em diversas articulações, e os pés não são exceção.
- Joanete (Hallux Valgus): Em alguns casos avançados, o joanete pode alterar a mecânica do pé e sobrecarregar a primeira articulação tarso metatarsal, contribuindo para a artrose.
- Fatores Genéticos: Há uma predisposição familiar para o desenvolvimento de artrose, ou seja, se seus pais ou avós tiveram, você pode ter um risco maior.
Como identificar a Artrose Tarso Metatarsal? Quais são os sintomas?

Os sintomas da Artrose Tarso Metatarsal podem se manifestar de forma gradual e variar de pessoa para pessoa. É importante estar atento aos sinais que o seu corpo dá:
- Dor na região do médio pé: É o sintoma mais comum. Geralmente, piora com a atividade física, após longos períodos em pé ou ao iniciar o movimento depois de um tempo de repouso (a chamada "dor de partida").
- Rigidez: Sensação de que o pé está "duro", especialmente pela manhã ou após períodos de inatividade. Essa rigidez tende a melhorar um pouco com o movimento.
- Inchaço: A parte superior ou média do pé pode apresentar inchaço e sensibilidade.
- Sensibilidade ao toque: A área das articulações afetadas pode ficar dolorida ao ser tocada.
- Dificuldade para caminhar ou usar calçados: A dor e a rigidez podem tornar a caminhada desconfortável, e calçados com solado muito flexível ou que comprimem o pé podem agravar a situação.
- Deformidade: Em estágios mais avançados, podem surgir proeminências ósseas visíveis (osteófitos) ou o pé pode parecer mais "achatado" ou "alargado".
- Crepitação: Você pode ouvir ou sentir um "estalido" ou "ranger" na articulação durante o movimento.
Se você apresenta um ou mais desses sintomas de forma persistente, é fundamental procurar ajuda médica especializada.
Como é feito o diagnóstico da Artrose Tarso Metatarsal?

O diagnóstico preciso é a chave para um tratamento eficaz. O Dr. Felipe Serzedello utiliza uma abordagem completa para identificar a Artrose Tarso Metatarsal:
Histórico Clínico Detalhado:
A conversa com o paciente é fundamental. O médico irá perguntar sobre seus sintomas, quando começaram, o que os agrava ou alivia, seu histórico de lesões e doenças, e seu estilo de vida.
Exame Físico Minucioso:
O especialista irá examinar o pé, procurando por inchaço, sensibilidade, deformidades, e avaliando a amplitude de movimento das articulações e sua marcha (forma de caminhar).
Exames de Imagem:
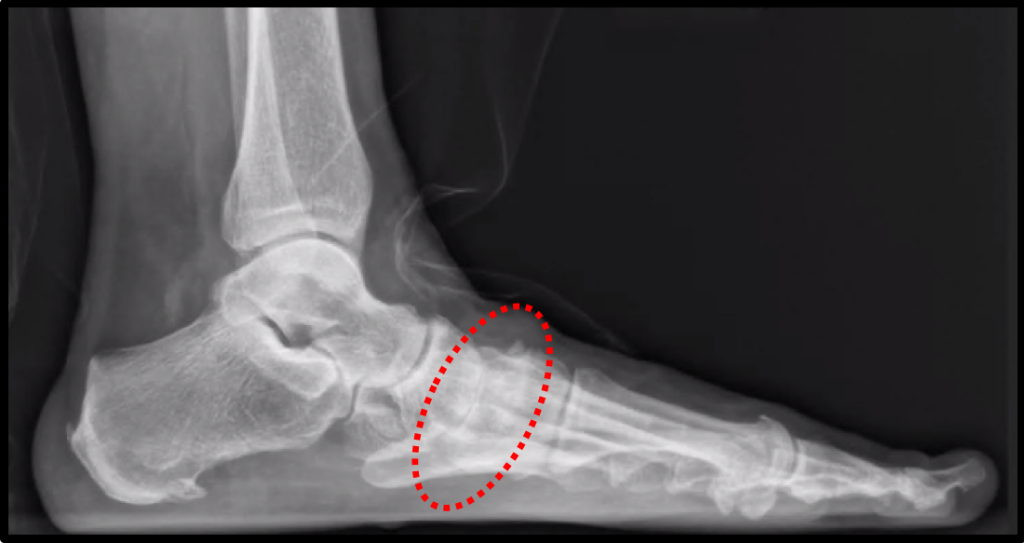
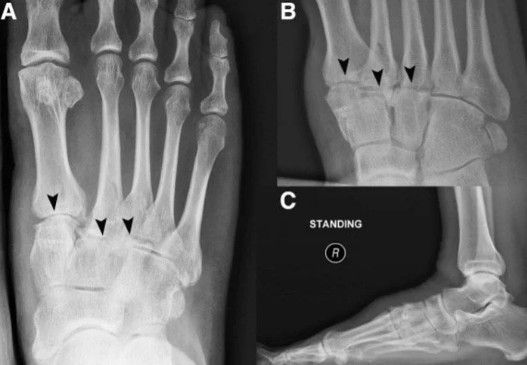
- Radiografias (Raio-X): São os primeiros exames solicitados. Eles podem revelar o estreitamento do espaço articular (indicando perda de cartilagem), a presença de osteófitos (bicos de papagaio) e alterações na estrutura óssea.
- Ressonância Magnética (RM) ou Tomografia Computadorizada (TC): Podem ser solicitadas para avaliar a cartilagem, identificar edemas ósseos e visualizar outras estruturas em maior detalhe, ajudando a planejar o tratamento.
Quais são as opções de tratamento conservador para a Artrose Tarso Metatarsal?

A boa notícia é que, na maioria dos casos, o tratamento da Artrose Tarso Metatarsal começa com abordagens conservadoras (não cirúrgicas), buscando aliviar a dor e melhorar a função do pé.
Fisioterapia e Reabilitação
A fisioterapia é um pilar fundamental no tratamento conservador. Um programa individualizado pode incluir:
- Exercícios de Fortalecimento: Para os músculos do pé e tornozelo, dando mais suporte e estabilidade.
- Alongamentos: Para melhorar a flexibilidade e reduzir a rigidez.
- Técnicas de Alívio da Dor: Como termoterapia (calor/gelo), eletroterapia e massagens específicas.
- Reeducação da Marcha: Orientações para caminhar de forma mais eficiente e com menos sobrecarga.
Adequação de Calçados e Palmilhas
A escolha do calçado certo faz uma enorme diferença:
- Calçados Confortáveis: Opte por sapatos que ofereçam bom suporte, solados mais rígidos e amortecimento adequado.
- Evite: Saltos altos, calçados muito apertados ou com solados excessivamente flexíveis, que não dão o suporte necessário.
- Palmilhas sob Medida: São grandes aliadas! Personalizadas após uma análise como a baropodometria, elas redistribuem a pressão nos pés, corrigem desalinhamentos e dão o suporte ideal para o arco, aliviando a sobrecarga nas articulações afetadas.
Infiltrações
Quando a dor e a inflamação são mais intensas, as infiltrações podem oferecer um alívio significativo:
- Corticosteroides: São potentes anti-inflamatórios que reduzem a dor e o inchaço na articulação afetada, geralmente proporcionando alívio temporário.
- Ácido Hialurônico: Também conhecido como "viscossuplementação", o ácido hialurônico lubrifica a articulação, melhorando seu deslizamento e reduzindo o atrito e a dor.
- PRP (Plasma Rico em Plaquetas): Em alguns casos, o PRP, obtido do próprio sangue do paciente, pode ser utilizado para estimular a cicatrização e regeneração tecidual, embora seu uso seja mais específico e avaliado caso a caso.
Medicamentos e Modificações na Atividade
- Anti-inflamatórios e Analgésicos: Podem ser prescritos para controlar a dor e a inflamação, especialmente em fases de crise.
- Modificações na Rotina: É importante evitar atividades que sabidamente pioram a dor. Adaptar a rotina, alternando períodos de atividade com descanso, e praticar exercícios de baixo impacto podem ajudar muito.
- Controle de Peso: Manter um peso saudável diminui a carga sobre as articulações dos pés, aliviando a pressão e o desgaste.
Quando o tratamento cirúrgico é necessário? Como funciona a artrodese tarso metatarsal?

O tratamento cirúrgico é geralmente considerado quando todas as opções conservadoras foram esgotadas e o paciente ainda apresenta dor significativa e limitação funcional que afeta sua qualidade de vida.
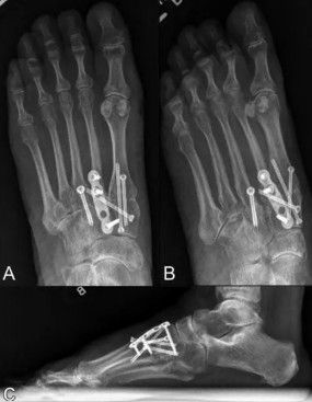
Nesses casos, a Artrodese Tarso Metatarsal é a cirurgia mais comum e eficaz para a Artrose Tarso Metatarsal avançada.
- O que é a Artrodese? É um procedimento cirúrgico que tem como objetivo fundir (unir) de forma permanente as articulações afetadas pela artrose. Ao eliminar o movimento entre os ossos, elimina-se também o atrito doloroso e a inflamação.
- Objetivo: Proporcionar um pé estável e, principalmente, sem dor, permitindo que o paciente retome suas atividades diárias com conforto.
- Como é feita: Durante a cirurgia, a cartilagem danificada é removida das superfícies ósseas das articulações. Em seguida, os ossos são posicionados corretamente e fixados com placas, parafusos ou outros implantes metálicos. Com o tempo, os ossos se consolidam (se fundem), tornando-se uma única peça óssea.
- Técnica e Expertise: Embora a artrodese seja uma cirurgia que visa a estabilização, o Dr. Felipe Serzedello busca sempre a melhor técnica para cada caso. Sua expertise em técnicas minimamente invasivas para outras condições do pé demonstra um compromisso com abordagens que visam menor trauma e recuperação mais rápida, sempre que aplicáveis. No caso da artrodese, a técnica é a mais eficaz para eliminar a dor quando a degeneração é avançada.
- Pós-operatório: O período de recuperação envolve um tempo de imobilização (com gesso ou bota ortopédica) para permitir a fusão óssea, seguido de fisioterapia intensiva para reabilitação e retorno gradual às atividades. A paciência e a dedicação do paciente são cruciais nessa fase.
Dicas e recomendações para manter seus pés saudáveis e sem dor

Cuidar dos seus pés é um investimento na sua qualidade de vida! Aqui estão algumas dicas importantes:
- Escolha o calçado certo: Prefira sapatos confortáveis, com bom suporte para o arco, solado firme e espaço suficiente para os dedos. Evite saltos altos e sapatos apertados.
- Mantenha um peso saudável: O excesso de peso aumenta a carga sobre as articulações dos pés, acelerando o desgaste.
- Faça alongamentos e exercícios: Mantenha a flexibilidade e a força dos músculos dos pés e tornozelos. Pergunte ao seu fisioterapeuta sobre os melhores exercícios para você.
- Descanse os pés: Após longos períodos de atividade, eleve os pés para reduzir o inchaço e a fadiga.
- Não ignore a dor: Dores persistentes nos pés não são normais! Elas são um sinal de que algo está errado e devem ser investigadas por um especialista.
- Consulte um especialista regularmente: Se você tem histórico de problemas nos pés ou fatores de risco para artrose, visitas periódicas a um ortopedista especialista em pé e tornozelo podem prevenir a progressão da doença.
O que dizem nossos pacientes
Conclusão e Próximos Passos

A Artrose Tarso Metatarsal pode ser uma condição dolorosa e limitante, mas você não precisa viver com essa dor. Com o diagnóstico precoce e o tratamento adequado, é possível gerenciar os sintomas, aliviar o desconforto e, em muitos casos, recuperar completamente a funcionalidade do seu pé.
Não adie a busca por ajuda especializada. Se você sente dores nos pés e suspeita de Artrose Tarso Metatarsal, dê o primeiro passo em direção a pés saudáveis e uma vida sem dor.
Agende uma consulta com o Dr. Felipe Serzedello e descubra o caminho para o seu bem-estar!
Para agendamento de consultas particulares e personalizadas, entre em contato via WhatsApp ou ligação. Estamos prontos para te ajudar!










